Вернуться   Финляндия по-русски » Жизнь в Финляндии » Suomenkielinen keskustelupalsta
Логин
Пароль

Ответ
 
Опции темы Поиск в этой теме Оценить тему Опции просмотра
Old 26-02-2007, 21:32   #1
Veonika
SLAVA UKRAINI
 
Аватар для Veonika
 
Сообщений: 15,442
Проживание: Espoo
Регистрация: 20-09-2004
Status: Offline
Репутация: 10
Exclamation Tunnista infarktin oireet!

Tällainen on tullut sähköpostiin ja viestissä on todellakin perää! Pään kanssa ei nimittäin leikitä koskkan

Hei Ystäväni!

Tämä tarina on tosi…



Ingrid kompuroi ja kaatui, kun hän oli seurueen kanssa grillaamassa. Hänelle tarjouduttiin tilaamaan ambulanssi, mutta hän vakuutteli kaikille, että hän on kunnossa ja oli vain kompastunut kiveen uusien kenkiensä takia.

Koska hän vaikutti vähän kalpealta ja vapisevalta, häntä autettiin siistiytymään ja hänelle tuotiin uusi lautasellinen ruokaa. Ingrid vietti lopun iltaa hilpeänä ja iloisena.

Ingridin aviomies soitti myöhemmin ja kertoi kaikille, että hänen vaimonsa oli toimitettu sairaalaan.
Ingrid kuoli klo 23.00. Hän oli saanut grillauksen aikana aivoinfarktin.

Jos läsnäolijat olisivat tienneet, miten voi tulkita aivoinfarktin oireita, saattaisi Ingrid vielä elää.

Seuraavan lukemiseen tarvitsee vain minuutin ...

Eräs neurologi sanoi, että taito tunnista ja diagnosoida aivoinfarkti ja toimittaa potilas kolmen tunnin sisällä hoitoon, ei ole helppoa. Aivoinfarktin tunnistamisessa tulisi pitäytyä neljässä askeleessa.

Lue ja opi!

Toisinaan on erittäin vaikea tunnistaa aivoinfarktin oireet.
Aivohalvauksen uhrilla voi olla todella vakavia aivovaurioita ja ihmiset, jotka ovat lähellä, eivät tunnista niitä.

Lääkärit sanovat, että läsnä olevat voivat tunnistaa aivohalvauksen,jos he asettavat seuraavat neljä kysymystä:

Pyydä henkilöä hymyilemään (...ei onnistu, jos on halvaantunut) Pyydä henkilöä toistamaan joku yksinkertainen lause, esimerkiksi: "Tänään on kaunis ilma."
Pyydä henkilöä kohottamaan molemmat kädet.
Pyydä henkilöä ojentamaan kielensä ulos. Jos kieli on mutkalla ja roikkuu viistossa, myös se on aivoinfarktin oire.


Jos oireilevalla henkilöllä on ongelmia yhdessäkin näistä askeleista,on heti soitettava hätänumeroon ja kuvailtava sinne hänen oireensa.

-----------------

"You have to sit by the side of a river a very long time before a roast duck will fly into your mouth." -G. Kawasaki

Последнее редактирование от Veonika : 26-02-2007 в 21:50.
 
0
 
0
    Ответить с цитированием
Old 27-02-2007, 00:27   #2
Ralphie
Moderaattori
 
Аватар для Ralphie
 
Сообщений: 2,312
Проживание: Свой дом
Регистрация: 14-04-2004
Status: Offline
Репутация: 20
Mielenkiintoista. Mä rakastan kaikkia EA-tietoja! Kiitos.

Tässä yksi toinen vaarallinen sairaus - aivokalvotulehdus (meningiitti). Yleensä sen tunnistaa nopeiten niskajäykkyydestä ja pienistä pisteistä pään alueella. Hidas tunnistaminen johtaa usein kuolemaan...

Lisätietoja: Duodecim: Aivokalvotulehdus

Цитата:
Oireet

Korkea kuume, päänsärky, pahoinvointi ja tajunnan häiriöt ovat tyypillisiä oireita. Yleistila heikkenee nopeasti. Meningokokkibakteerin aiheuttamissa infektioissa iholle ilmaantuu pieniä punaisia verenpurkaumia (petekioita) ja jopa kuolioita. Ilman hoitoa potilaalle kehittyy sokkitila ja se johtaa kuolemaan. Virusten aiheuttamissa infektioissa oireet ovat lievempiä ja hitaammin kehittyviä.
 
0
 
0
    Ответить с цитированием
Old 27-02-2007, 12:39   #3
maxa
ахам
 
Сообщений: 263
Проживание: AU
Регистрация: 28-10-2005
Status: Offline
Репутация: 0
Цитата:
Сообщение от Veonika
Tällainen on tullut sähköpostiin ja viestissä on todellakin perää! Pään kanssa ei nimittäin leikitä koskkan

Pyydä henkilöä hymyilemään (...ei onnistu, jos on halvaantunut) Pyydä henkilöä toistamaan joku yksinkertainen lause, esimerkiksi: "Tänään on kaunis ilma."
Pyydä henkilöä kohottamaan molemmat kädet.
Pyydä henkilöä ojentamaan kielensä ulos. Jos kieli on mutkalla ja roikkuu viistossa, myös se on aivoinfarktin oire.


Jos oireilevalla henkilöllä on ongelmia yhdessäkin näistä askeleista,on heti soitettava hätänumeroon ja kuvailtava sinne hänen oireensa.


Juu, alkava malaria se vasta on vaikea tunnistaa. Siihen kun ei liity mitään oireita. Näin ainakin väitti vanha vitsi. Anteeksi vain, mutta tääkin kyllä kuullostaa vitsiltä. Ajatelkaa nyt pojat. Olette grillijuhlissa ja näette tytön kaunissa hihattomassa kesämekossaan. Menette hänen luokseen ja sanotte: "beibi, sä näytät vähän kalpeelta. Ettei sulla vaan ois infarkti". "Otas kuule ja työnnä kieli ulos suusta ja sano "tänään on kaunis ilma", lujempaa beibi, sano lujempaa", "ja nyt, kultaseni, nosta molemmat kädet kohti taivasta ... korkeemmalle vaan reilusti, en mä tissejä yritä kurkkia", "no, no, kädet ylös nyt ja äkkiä tai mä tilaan sulle ambulanssin!!!". Kukas tyttö tuollaista juhlissa vakavissaan ottaisi?

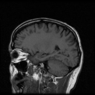
No, vakava asia. Mulle iski reilu vuosi sitten Bellin pareesi, joka aiheuttaa toispuolisen kasvohalvauksen. Se oli aika pelottava juttu kun ei yhtään tiennyt, mikä on. Luulin vain, että se johtuu niskan jäykkyydestä tai lihasjännityksestä, ja yritin parantaa sitä hieronnalla. Sitten kun menin lääkäriin, hän vasta kertoi, mistä on kysymys. Varmuuden vuoksi hän määräsi kuvaukseen. Ensin otettiin tomografiakuva. Kolmen päivän päästä hän soitti tulokset ja sanoi, että siellä näkyy aivoinfarktin jälki, joko uuden tai vanhan. Tuli lähete magneettikuvaukseen. Kesti reilun viikon ennen kuin siitä tulivat tulokset. Tuona aikana kerkisi mielessä pyörimään vaikka mitä ... No, tulos oli sitten suuri helpotus: erikoislääkäri sanoi, että se tomografian infarkti olikin ollut vain tekninen virhe.

Lopputuloksena tuli sitten kaksi cd:llistä kuvia aivoistani. Onpahan ainakin todistettu, että pääni on täynnä normaaljea terveitä aivoja eikä pelkkää keltaista nestettä niin kuin joku joskus väittää.
Изображения
 
0
 
0
    Ответить с цитированием
Ответ


Опции темы Поиск в этой теме
Поиск в этой теме:

Расширенный поиск
Опции просмотра Оценка этой теме
Оценка этой теме:

Ваши права в разделе
Вы не можете создавать темы
Вы не можете отвечать на сообщения
Вы не можете прикреплять файлы
Вы не можете редактировать сообщения

vB коды Вкл.
[IMG] код Вкл.
HTML код Выкл.



» Объявления на Doska.fi

» Галерея Финляндии

» Реклама на Doska.fi

» Реклама на Russian.fi


Часовой пояс GMT +3, время: 13:44.

Russian.fi - Финляндия по-русски © Suomitech Oy, 2002-2026 При использовании материалов с сайта указание ссылки на russian.fi обязательно